DIRECCIÓN DE INVESTIGACIÓN
Director: DR. Reimer Romero
Evaluación de la biodisponibilidad y bioacumulación de cadmio en suelos cacaoteros y almendras de cacao venezolano: Propuesta de un mecanismo de acción para su minimización.
Investigador Responsable:
Cristina José De Sousa Da Silva
cristidsousa@hotmail.com
Línea de Investigación:
Química agrícola
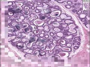
Análisis multiespectral y morfológico de cortes histológicos en pacientes con diagnóstico mamario del Instituto Oncológico Miguel Pérez Carreño
Investigador Responsable:
Reimer Romero Hernández
romeroreimer@gmail.com
Línea de Investigación:
Eficiencia del Neem como insecticida biológico en mosquitos vectores de dengue y estrategias educativas para la prevención comunitaria de arbovirosis.
Investigador responsable:
Rafael Fernández Da Silva
rafaelfer21031970@gmail.com
Línea de Investigación:
Biodiversidad Vegetal y Biodiversidad Animal
Modificación a gran escala de la gravedad: Alternativa a la materia oscura y energía oscura del universo.
Investigador Responsable:
Nelson Falcón
nelsonfalconv@gmail.com
Línea de Investigación:
Fisica Teórica
macrofauna asociada a raíces de magle de la bocaina, patanemo.
Investigador Responsable:
Carmen Teresa Rodríguez
rfcarmenteresa@gmail.com
Línea de Investigación:
Ecología Marina
soluciones autosimilares para el colapso relativista usando maple y grtensoriii.
Investigador Responsable:
Victor E Medina F
vmedina@uc.edu.ve
Línea de Investigación:
dieta del pez invasor pterois volitans en el parque nacional san esteban: potencial efecto sobre especies.
Investigador Responsable:
José G Rodríguez Q
stegastes@hotmail.com
Línea de Investigación:
Ecología Marina
Aplicación del quitosano como agente encapsulador de compuestos farmacéuticos para su liberacion.
Investigador Responsable:
Freddy W. Ocanto U.
ocantof@uc.edu.ve
Línea de Investigación:
Obrención de nanoparticulas como mejorador de lubricante a partir de la cáscara de arroz.
Investigador Responsable:
Henry J. Labrador S.
hjlabrad@uc.edu.ve
Línea de Investigación:
Evaluación de indicadores de calidad ambiental en la zona costera del municipio Puerto Cabello.
Investigador Responsable:
Joselin Albujar.
jalbujar@uc.edu.ve
Línea de Investigación:
Sistemas micelares acuosos formulados con surfactantes de origen oleoquímico para el encapsulamiento de aminoácidos y péptidos mediante simulaciones computacionales.
Investigador Responsable:
José G. Parra F.
josegregorioparra@gmail.com
Línea de Investigación:
Química Computacional, fenómenos interfaciales, Agroquímica.
Estudio de la absorción de resina fenólicas dispersantes de asfaltenos en núcleos reales de yacimientos petrolíferos del norte del estado Monagas.
Investigador Responsable:
Bari J. Aguero T.
Prof.bariaguero@gmail.com
Línea de Investigación:
Petróleo, Petroquímica y Catálisis
Desarrollo de biofertilizantes a base de microorganismos fijadores de nitrógeno, empleando soportes sólidos.
Investigador Responsable:
Minerva Y. Márquez A.
minervamarquez41@gmail.com
Línea de Investigación:
Departamento de Química
Estudio de ensamblaje de surfactantes para la formación de nanoestructuras.
Investigador Responsable:
Juan C. Pereira A.
jcpereir@uc.edu.ve
Línea de Investigación:
